Home
Our Office
About the Office
Hours & Location
Insurance & Payment Options
Our Team
Doctors
Staff
Our Services
Cosmetic Dentistry
Dental Crowns
Dental Implants
Teeth Whitening
Veneers & Laminates
Orthodontics
Root Canal Treatments
Root Canal Re-treatment
Inlays & Onlays
Jaw Joint Treatment
Teeth Sealants
Patient Education
Oral Health
Smile Gallery
Patient Brochures
Dental Articles
Post Operative Instruction
FAQ
Contact Us
(510) 483-1266
Smile Gallery
BEFORE AND AFTER PICTURES
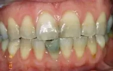
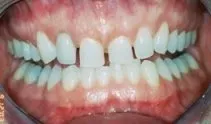
Teeth Whitening
Before
After
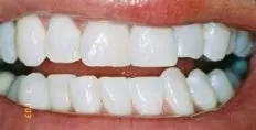
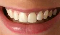
Teeth Whitening
Before
After
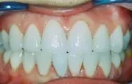
Teeth Whitening
Before
After
Porcelain Veneers
Before
After
Porcelain Veneers
Before
After
Porcelain Veneers
Before
After
Aesthetic Fillings
Before
After
Cosmetic Bonding
Before
After
Porcelain Crowns
Before
After
Porcelain Veneers & Crowns
Before
After
We proudly provide quality dental care to the community of San Leandro and surrounding areas.
Book Appointment
QUICK LINKS
About the Office
Our Services
Contact Us
CONTACT
433 Estudillo Ave., Suite 108
San Leandro, CA 94577
(510) 483-1266
andytran-assoc@comcast.net
Copyright © Andy Tran DDS & Associates 2019 - All Rights Reserved
Website By
Solution21
|
Legal Notices
Share by: